间质性肺疾病 付费文章

间质性肺疾病的疾病概述与定义

2025年12月2日 132 阅读
间质性肺疾病的疾病概述与定义

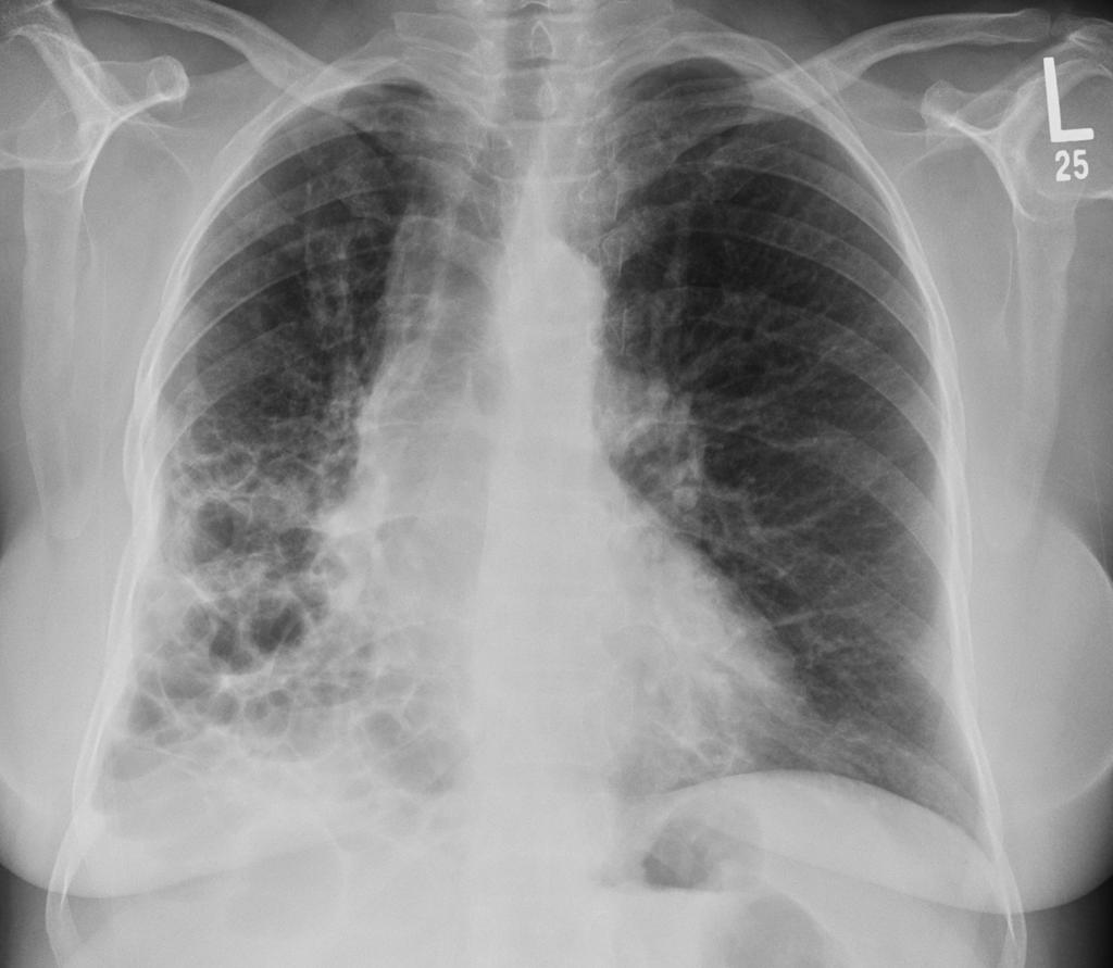
提到肺病,大多数人想到的可能是肺炎、肺癌这些"知名度"比较高的疾病,但有一类肺病却像个"隐形杀手",悄悄地损害着我们的肺部,它就是间质性肺疾病,简称ILD。 这个名字听起来就很专业,让人摸不着头脑,但实际上它离我们并不遥远。 据中华医学会呼吸病学分会统计,我国间质性肺疾病的患病率约为每10万人中有28-65人,而且这个数字还在逐年上升。 间质性肺疾病就像是肺部的"装修工人"出了问题,本来应该保持肺泡结构完整的间质组织开始"胡作非为",导致肺部纤维化、硬化,最终影响呼吸功能。 听起来有点可怕,但别慌,了解了它的"脾气",我们就能更好地应对。

课程一览

1.间质性肺疾病(ILD)的概念与分类

2.特发性肺纤维化及其他常见ILD类型

3.流行病学特点与危险因素

4.疾病自然史与基础影响因素

一、间质性肺疾病(ILD)的概念与分类

间质性肺疾病这个名字确实有点拗口,但我们可以把它想象成肺部的"基建工程"出了问题

肺泡周围有一层薄薄的间质组织,就像房子的墙壁一样,正常情况下它们井然有序,保证氧气和二氧化碳的正常交换

但当间质组织发生炎症、纤维化时,这堵""就变厚变硬了,气体交换就困难了

1、什么是间质性肺疾病

简单来说,间质性肺疾病是一大类累及肺间质的弥漫性肺部疾病的总称

这里的"间质"指的是肺泡壁、肺泡周围的结缔组织、毛细血管内皮细胞基底膜等结构

当这些部位发生炎症、纤维化时,就会影响肺部的气体交换功能

美国胸科学会和欧洲呼吸学会联合发布的指南将间质性肺疾病定义为:以肺间质为主要累及部位的异质性非肿瘤性、非感染性疾病群

这个定义虽然严谨,但听起来确实有点绕口

2、分类方法知多少

间质性肺疾病的分类方法有好几种,就像给人群分类一样,可以按年龄分、按职业分、按地域分

医学上主要有三种分类方法:

按病因分类是最常用的方法

已知病因的ILD包括药物性肺损伤、职业性肺病、结缔组织病相关性ILD等;未知病因的主要是特发性间质性肺炎,其中特发性肺纤维化最为常见

按病理分类则更加专业,主要分为通常型间质性肺炎、非特异性间质性肺炎、隐源性机化性肺炎等多种类型

这些名字听起来都很相似,但病理表现和治疗方法却大不相同

按临床表现分类相对简单,急性起病的、亚急性起病的和慢性进行性的,这种分类方法对临床诊疗指导意义比较大

3、常见类型一览

在众多的间质性肺疾病中,有几种是比较常见的"熟面孔"

特发性肺纤维化占所有ILD20-30%,是最常见的类型;结缔组织病相关性ILD约占15-20%;过敏性肺炎约占10-15%;药物性肺损伤的比例在近年来有所上升,约占5-10%

这些疾病虽然都属于间质性肺疾病这个大家族,但每一种都有自己的"个性",治疗方法和预后也不尽相同

二、特发性肺纤维化及其他常见ILD类型

特发性肺纤维化就像是间质性肺疾病中的"老大哥",不仅患病人数最多,病情也相对严重

"特发性"这个词听起来很玄乎,其实就是"原因不明"的意思,医生们也搞不清楚为什么会得这个病,就像有些人天生容易胖,有些人怎么吃都不胖一样

1、特发性肺纤维化的特点

特发性肺纤维化主要发生在50岁以上的中老年人群,男性略多于女性,比例大约是1.5-2:1

这个病有个很形象的比喻,就像肺部的"疤痕"越来越多,越来越硬,最终导致肺功能严重受损

根据国际肺纤维化协会的数据,全球每年新发特发性肺纤维化病例约为每10万人中3-9例,我国的发病率相对较低,但随着人口老龄化和诊断技术的提高,发现的病例越来越多

这个病最麻烦的地方在于起病隐匿,早期症状不典型

很多患者开始时只是觉得爬楼梯有点喘,以为是年纪大了体力不行,等到症状明显时,肺部已经纤维化得比较严重了

2、结缔组织病相关性ILD

如果说特发性肺纤维化是个"独行侠",那么结缔组织病相关性ILD就是个"团伙作案"的典型

它通常伴随着类风湿关节炎、系统性硬化症、多发性肌炎等结缔组织疾病出现

这类患者往往有个特点,就是"多病缠身"

除了肺部问题,还可能有关节疼痛、皮肤硬化、肌肉无力等症状

中华风湿病学会的统计显示,约有10-20%的结缔组织病患者会发生肺间质病变

3、过敏性肺炎

过敏性肺炎听名字就知道和过敏有关,但它可不是一般的过敏

这种病是由于长期或反复吸入某些有机粉尘引起的,比如霉菌孢子、动物蛋白、某些化学物质等

农民肺、鸟饲养者肺、空调肺都属于过敏性肺炎的范畴

有趣的是,这种病有很强的职业和环境特色,养鸟的人容易得鸟饲养者肺,长期接触发霉干草的农民容易得农民肺

4、药物性肺损伤

现代医学发达了,药物种类也越来越多,但"是药三分毒"这句老话还是有

剩余内容为付费内容

成为会员即可解锁全部内容,享受更多专属权益

相关推荐