营养健康文库

海量的科学营养健康知识,助您轻松享受每一天

此栏目可以单独付费订阅

栏目: 间质性肺疾病
订阅价格: ¥29.00

请添加微信: v8364982 付费获得此栏目完整阅读权限


订阅后可阅读该栏目下的所有付费文章,无需开通全站VIP会员
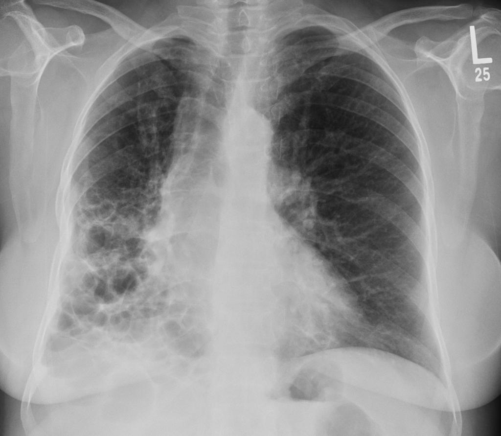
间质性肺疾病的病理生理机制
间质性肺疾病 付费
间质性肺疾病的病理生理机制

间质性肺疾病的病理机制虽然复杂,但通过深入了解这些机制,我们就能更好地利用营养干预来对抗疾病。 营养不是万能的,但在疾病的防治中确实发挥着不可替代的作用。 ...

2025/12/6
间质性肺疾病的疾病概述与定义
间质性肺疾病 付费
间质性肺疾病的疾病概述与定义

提到肺病,大多数人想到的可能是肺炎、肺癌这些"知名度"比较高的疾病,但有一类肺病却像个"隐形杀手",悄悄地损害着我们的肺部,它就是间质性肺疾病,简称ILD。 ...

2025/12/2